1. Lông
![]() |
Lông trên cơ thể người (Ảnh: Hack Spirit) |
Liệu bạn có biết lông mày giúp ngăn mồ hôi giúp ngăn mồ hôi chảy vào mắt, râu trên khuôn mặt của đàn ông cũng đóng một phần quan trọng trong việc thu hút những người khác giới? Bên cạnh những tác dụng trên thì đa phần lông (tóc) trên cơ thể người đều không cần thiết. Chính vì điều này nên các nhà khoa học dự đoán rằng trong tương lai, những phần lông không có tác dụng trên cơ thể người sẽ dần biến mất.
2. Xoang cánh mũi
![]() |
Viêm xoang khiến cho nhiều người khốn khổ (Ảnh: Hack Spirit) |
Phần xang cánh mũi không có tác dụng gì nhiều ngoài việc giúp cho đầu chúng ta nhẹ hơn. Không những không có tác dụng gì mấy mà chúng con khiến cho một vài người cảm thấy đau nhức khi bị viêm xoang, nhất là khi thời tiết thay đổi.
3. Cơ ngoài tai
![]() |
Cơ ngoài tai (Ảnh: Hack Spirit) |
Một số người không có cơ ngoài tai, những người có bó cơ này sẽ có thể cử động tai. Tuy nhiên khả năng này thức tế khá vô dụng, nó không có quá nhiều ý nghĩa đối với con người.
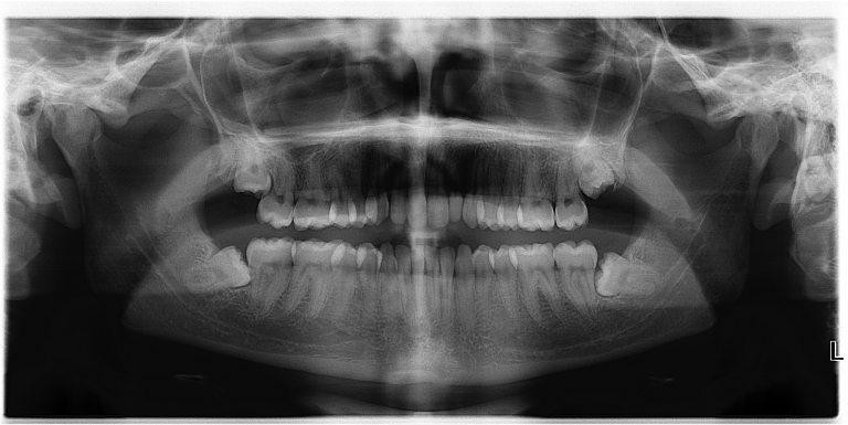
4. Răng khôn
![]() |
Răng khôn không hề "khôn" như tên gọi của nó (Ảnh: Hack Spirit) |
Thời tiền sử, những chiếc răng khôn được sử dụng để nghiền thức ăn giúp cho con người dễ tiêu hóa hơn. Tuy nhiên ngày nay, việc con người chuyển sang ăn những thực phẩm được nấy chín, cùng với đó là việc kết hợp dao nĩa khiến cho những chiếc răng khôn này trở nên vô tác dụng. Đáng ghét hơn, những chiếc răng khôn này còn khiến cho chúng ta bị đau, làm xô lệch hàm răng khi chúng mọc lên.
5. Xương sườn cổ
![]() |
Xương sườn cổ (Ảnh: Hack Spirit) |
Khoảng 1% dân số thế giới có nhiều xương sườn hơn bình thường, kéo cả lên khu vực gần cổ. Không những chẳng giúp ích gì cho con người chúng ta mà chúng còn khiến con người dễ mắc những bệnh về thần kinh.
6. Cơ Palmaris
![]() |
Cơ Palmaris (Ảnh: Hack Spirit) |
Nếu bạn phải leo núi hoặc thực hiện động tác đu người một cách thường xuyên trong một khoảng thời gian dài thì bó cơ này sẽ đem đến những tác dụng nhất định. Tuy nhiên ngày nay con người không còn phải bám trị hay leo trèo trên các vách đá như trước nữa, vì vậy nhiều khả năng bó cơ Palmaris sẽ bị biến mất trong tương lai
7. "Nhũ hoa" đàn ông
![]() |
Bộ phận vô dụng trên cơ thể đàn ông (Ảnh: Hack Spirit) |
Bộ phận này xuất hiện ở cả 2 giới tuy nhiên đối với đàn ông thì chúng hoàn toàn vô dụng.
8. Xương sườn số 13
![]() |
Xương sườn số 13 (Ảnh: Hack Spirit) |
Trong số các loài linh trưởng, loài gần gũi nhất với con người là tinh tinh và khỉ đột, chúng có 13 chiếc xương sườn, nhiều hơn chúng ta một chiếc. Nhưng hóa ra ngay cả khi điều đó là vô ích, khoảng 8% dân số vẫn có xương sườn thứ mười ba.
9. Ngón chân
![]() |
Ngón chân sẽ bị biến mất trong tương lai (Ảnh: Hack Spirit) |
Nhiều người sẽ cảm thấy vô lý khi nghe đến việc ngón chân sẽ biến mất trong tương lai. Tuy nhiên nhiều nhà khoa học cho rằng con người có thể đi lại và giữ thăng bằng tốt mà không cần quá nhiều ngón chân. Cụ thể, con người khi bước đi có xu hướng dồn trọng tâm tập trung vào ngón chân cái. Điều này có nghĩa là con người sau này sẽ ngày càng bớt phụ thuộc vào các ngón chân, và theo thuyết tiến hóa thì chúng có thể biến mất hoàn toàn.
10. Điểm Darwin
![]() |
Điểm Darwin (Ảnh: Hack Spirit) |
Điểm Darwin là tên gọi để chỉ vùng da bị gấp phía trên tai. Quả thực, đây là một trong những bộ phận vô dụng nhất của tai. Nó chẳng có tác dụng gì, chỉ khiến cho bụi bẩn bám vào mà thôi.
Theo Hack Spirit









