Trung tâm Điện quang, Bệnh viện Bạch Mai cho biết: Trung tâm vừa tiếp nhận một sản phụ 33 tuổi từ tuyến dưới chuyển lên. Bệnh nhân nhập viện trong tình trạng mất máu nghiêm trọng, chỉ số hồng cầu của người bệnh chỉ còn 1,4 triệu (bình thường là 4,5-5,5 triệu hồng cầu).
Theo bệnh án chuyển tuyến, sản phụ sinh thường (con thứ 3). Sau khi sinh, tử cung sản phụ không co hồi gây chảy máu liên tục - dân gian gọi là băng huyết. Tại Bệnh viện tỉnh, để cứu sống sản phụ, các bác sĩ đã phải cắt tử cung để cầm máu. Tuy nhiên, máu vẫn chảy không ngừng qua đường âm đạo và trong ổ bụng rất nhiều dịch máu khiến mạch của sản phụ tăng lên 120 lần/ phút, huyết áp giảm 90/60mmHg.
Trước diễn biến nguy kịch của sản phụ, các bác sĩ ở bệnh viện tỉnh đã hội chẩn trực tuyến qua điện thoại với Trung tâm Cấp cứu A9, Bệnh viện Bạch Mai. Kết quả buổi hội chẩn từ xa qua Telehealth, bệnh nhân được chuyển tuyến cấp cứu lên Trung tâm Điện quang, Bệnh viện Bạch Mai.
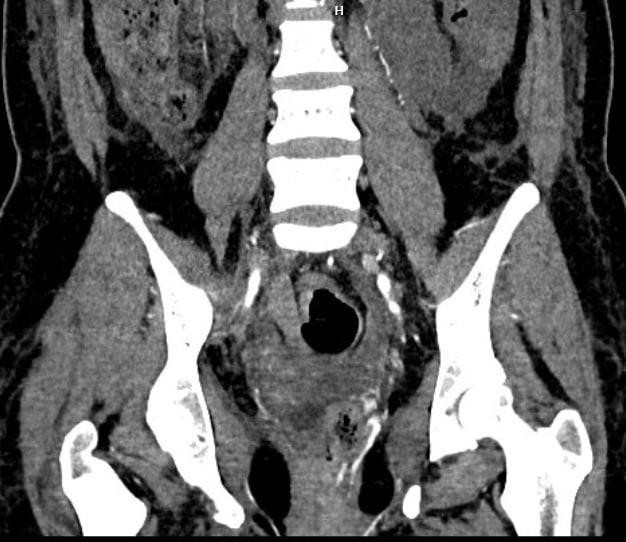
Tại Bệnh viện Bạch Mai, các bác sĩ của Trung tâm Cấp cứu A9 và Trung tâm Điện quang lập tức hội chẩn cấp cứu để đưa ra phương án chẩn đoán và điều trị cho người bệnh. Kết quả chụp cắt lớp điện toán đa lớp cắt (MSCT) cho thấy bệnh nhân bị tổn thương chảy máu từ mạch máu quanh trực tràng.
Sau 90 phút cân não, bằng tất cả trí lực và hệ thống trang thiết bị hiện đại, các bác sĩ ở Trung tâm Điện quang đã làm nên kỳ tích trong lịch sử điện quang can thiệp Việt Nam khi can thiệp thành công cho sản phụ bị tổn thương động mạch trực tràng hiếm gặp.
![]() |
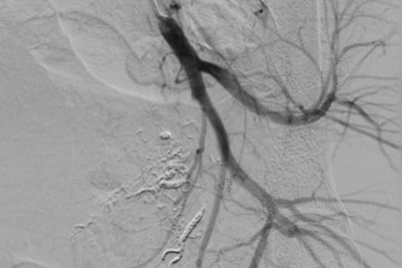
Hình ảnh thoát thuốc vị trí động mạch tử cung trái và quanh trực tràng của bệnh nhân (Ảnh - BVCC) |
Nhớ lại khoảnh khắc “đấu trí” với tử thần, BSCKII. Phan Hoàng Giang - người trực tiếp thực hiện ca can thiệp - cho biết: “Đây là lần đầu tiên, tôi gặp trường hợp chảy máu sau đẻ mà nguồn gốc lại từ động mạch mạc treo tràng dưới. Ca lâm sàng này rất hiếm gặp trên thế giới. Ca lần đầu tiên được phát hiện là vào năm 2015. Trong một nghiên cứu lên đến 783 bệnh nhân thì chỉ có 8 bệnh nhân mắc (chiếm 1% các trường hợp chảy máu sau đẻ). Với những bệnh nhân đã cắt tử cung càng khó khăn trong quá trình tìm động mạch tử cung nhằm cầm máu và gây tắc. Ca sản phụ này khá phức tạp và mất nhiều thời gian hơn so với ca chảy máu sau đẻ thông thường. Bình thường, chúng tôi chỉ gây tắc nhánh mạch tổn thương và cầm máu tạm thời động mạch chậu trong hai bên”.
Với bệnh nhân này, các bác sĩ đã tìm thêm các nhánh chảy máu quanh trực tràng, gồm 6 nhánh mạch 2 bên: động mạch trực tràng trên, động mạch trực tràng giữa và động mạch trực tràng dưới. Sau khi xác định được nhánh chảy máu, các bác sĩ đã lựa chọn vật liệu gây tắc mạch cũng như vị trí can thiệp để không bị hoại tử trực tràng. Sau 36 tiếng theo dõi, sản phụ đã được xuất viện, trở về nhà cùng chồng và 3 con nhỏ.
Đánh giá kết quả của ca can thiệp, PGS.TS. Vũ Đăng Lưu - Giám đốc Trung tâm Điện quang, Bệnh viện Bạch Mai - chia sẻ: Có được kết quả này, ngoài nhờ có hệ thống trang thiết bị đồng bộ, hiện đại, Trung tâm Điện quang, Bệnh viện Bạch Mai còn có các nhóm bác sĩ có chuyên môn sâu trong tất cả các lĩnh vực: thần kinh, tiêu hóa, sinh dục tiết niệu, hô hấp, cơ xương khớp, tim mạch.
Trung tâm Điện quang luôn có các hình thức nghiên cứu khoa học: ca lâm sàng, báo cáo staff, review các ca can thiệp, câu lạc bộ tiếng Anh, báo cáo chuyên môn bằng tiếng Anh để các bác sĩ luôn trao dồi vốn ngoại ngữ và có cơ hội cập nhật liên tục các kiến thức lâm sàng cùng bạn bè quốc tế. Các bác sĩ của Trung tâm thường xuyên được tham gia các diễn đàn khoa học, tham dự hội nghị trong nước và quốc tế, đi học các khóa tại nước ngoài.
Vì vậy, các bác sĩ luôn cập nhật các kiến thức khoa học tiên tiến trên thế giới cũng như khu vực. Do đó, mặc dù chưa gặp ca bệnh nào trên lâm sàng, nhưng nhờ tự học hỏi nên Trung tâm đã can thiệp thành công ca bệnh hiếm và khó. Với ca bệnh trên, ngoài kiến thức về giải phẫu, các bác sĩ còn cần phải biết lựa chọn vật liệu can thiệp để bệnh nhân sau can thiệp không bị hoại tử trực tràng.
Rút tên ông Nguyễn Quang Tuấn -Giám đốc BV Bạch Mai-khỏi danh sách ứng cử đại biểu Quốc hội khóa XV
Bộ Y tế kiểm tra toàn diện Bệnh viện Bạch Mai về vấn đề tự chủ bệnh viện
