Thông báo
    bell
  • Góc nhìn truyền thông
  • Kinh tế - Dữ liệu
    • Dữ liệu
    • Kinh Doanh
    • Bất động sản
  • Chuyện doanh nhân
  • Thời sự - Xã Hội
    • Xã hội
    • Y tế
    • Giáo dục
    • Pháp luật
  • Khoa học - Công nghệ
    • Internet
    • Xe
    • Mobile
    • Chuyển đổi số
  • Thế giới
    • Toàn cảnh
    • Phân tích
    • Chuyện lạ
  • Truyền thông số
    • Tin tức
    • Hoạt động Hội viên
  • Multimedia
    • Ảnh
    • Video
    • Emagazine
    • Infographic
  • Cải chính
  • Đời sống Doanh nghiệp
Viettimes - tin tức và phân tích chuyên sâu kinh tế, quốc tế, y tế

Từ khóa: #động mạch trực tràng

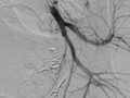
Hình ảnh sau nút mạch quanh động mạch trực tràng của bệnh nhân (Ảnh - BVCC)

90 phút “cân não” cứu sống sản phụ bị tổn thương động mạch trực tràng lần đầu tiên xuất hiện ở VN

TẠP CHÍ ĐIỆN TỬ VIETTIMES

CƠ QUAN CỦA HỘI TRUYỀN THÔNG SỐ VIỆT NAM

App Store Google Play

Giấy phép báo chí điện tử số 699/GP-BTTTT do Bộ trưởng Thông tin và Truyền thông cấp ngày 21/12/2015

Tổng Biên tập: Nguyễn Bá Kiên

Tòa soạn: LK16-18, Khu đô thị Hinode Royal Park, Kim Chung, Hoài Đức, Hà Nội

VP đại diện tại miền Nam: Tầng 3, số 54, đường C1, phường 13, quận Tân Bình, TP.HCM

Điện thoại/fax: (024)32 151175

Email: toasoan@viettimes.vn

Đường dây nóng: 0862 774 832

Liên hệ quảng cáo: 093 228 8166

® Chỉ được đăng tải nội dung thông tin khi có sự đồng ý bằng văn bản của Tạp chí Viettimes.