Đau không chịu nổi mới đi khám
![]() |
|
Khối u kích thước lớn khiến cho các bệnh nhân bị biến dạng cơ thể
|
Trong cùng một ngày, Bệnh viện Đa khoa Xanh Pôn tiếp nhận tới 2 bệnh nhân nam ở độ tuổi trung niên có tình trạng bệnh giống nhau.
Bệnh nhân đầu tiên tên là Khuất Văn T. (46 tuổi, Bắc Ninh). Bẩm sinh ông T. có khối u xương sụn ở vùng đầu xương đùi bên phải. Vì đã được các bác sĩ xác định đây là u lành tính, nên ông T. khá yên tâm, chỉ thi thoảng mới đi khám để theo dõi.
Song, 2 năm trở lại đây, ông T. bị đau phần hông, vận động rất khó khăn. Đến lúc không chịu nổi nữa, ông mới tới Bệnh viện Đa khoa Xanh Pôn để khám, thì phát hiện khối u lành tính đã phát triển kích thước, phải phẫu thuật.
Có tình trạng bệnh tương tự với ông T., bệnh nhân Nguyễn Văn V. (50 tuổi, Hà Nội) cũng cảm thấy đau đớn và có phần hông bị nhô sang bên phải biến dạng. Sau khi được thăm khám, ông V. mới biết khối u đầu xương đùi của mình đã to ra từ lúc nào không hay.
PGS. Trần Trung Dũng - Phó Giám đốc, Trưởng Khoa Chấn thương Chỉnh hình, Bệnh viện Đa khoa Xanh Pôn - cho biết đây là hai ca bệnh rất khó, có nhiều thách thức đối với không chỉ Bệnh viện Đa khoa Xanh Pôn nói riêng, mà với cả chuyên ngành Chấn thương Chỉnh hình ở Việt Nam hiện nay nói chung.
“Đây là hai cuộc phẫu thuật lớn trong ngành Chấn thương Chỉnh hình ở Việt Nam với độ phức tạp cao, chi phí tốn kém. Giá mà người bệnh đến với chúng tôi sớm hơn thì chúng tôi đã có thể giải quyết vấn đề một cách đơn giản, ít biến chứng, đỡ tốn kém hơn rất nhiều” - PGS. TS. Trần Trung Dũng chia sẻ.
Khối u lớn nặng tới gần 2kg
![]() |
|
Các bác sĩ phẫu thuật loại bỏ 2 khối u hình giống chiếc xúp lơ có trọng lượng 1,6 kg và 2 kg của các bệnh nhân T. và V.
|
Để điều trị bệnh, các bác sĩ phải phẫu thuật cắt u và tạo hình khớp háng cho ông T. và ông V.
Khó khăn đặt ra cho các bác sĩ là phải cắt bỏ được khối u khổng lồ, đồng thời, bảo toàn chi cho bệnh nhân trong tình trạng khối u xương đã ăn sâu và lan rộng sang tổ chức xung quanh, chèn ép vào mạch máu và thần kinh vùng mông và đùi .
"Nếu phẫu thuật và tạo hình khớp háng thành công đồng nghĩa với việc sẽ không còn mặc cảm về hình dáng bên ngoài, giúp bệnh nhân hoạt động, trở lại với sinh hoạt bình thường. Còn nếu không phẫu thuật, thì cả hai sẽ phải sống chung với khối u suốt đời" - Bác sĩ Đào Nguyên Chính - Đơn nguyên Phẫu thuật khớp háng và khung chậu, Khoa Chấn thương chỉnh hình và Y học thể thao của Bệnh viện cho biết.
Rất may mắn, 2 bệnh nhân này không phải xạ trị, chỉ cần phẫu thuật. Các bác sĩ thống nhất phương án phẫu thuật gồm loại bỏ khối u kèm đoạn xương bị xâm lấy và thay đoạn xương bị loại bỏ bằng đoạn xương đùi mới được làm bằng vật liệu PEEK (polyetheretherketone) với kích thước tương tự.
Theo ThS. Trần Sáng - bác sĩ chuyên ngành Phẫu thuật Ung thư xương, Khoa Ngoại tổng hợp, Bệnh viện K3, người trực tiếp phối hợp với các bác sĩ của Bệnh viện Đa khoa Xanh Pôn trong ca phẫu thuật điều trị cho 2 bệnh nhân - hai ca mổ được thực hiện thành công, bệnh nhân được trả lại dáng đi tự nhiên và tránh được nguy cơ tàn tật suốt đời.
Đáng chú ý, sau ca mổ, các bác sĩ lấy được 2 khối u hình giống chiếc xúp lơ có trọng lượng 1,6 kg và 2 kg.
Kết quả sinh thiết trả về cho thấy 2 khối u này đã chuyển từ lành tính sang ác tính nên có kích thước lớn bất thường, bờ nham nhở, cứng chắc, không rõ ranh giới, không di động, biến dạng và hạn chế vận động khớp háng phải.
Đừng chủ quan khi thấy u lành tính
![]() |
|
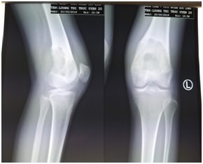
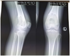
Phim chụp X-quang phần xương đùi của bệnh nhân
|
Qua trường hợp của 2 bệnh nhân, bác sĩ Trần Sáng chia sẻ: “Cộng đồng cần cảnh giác về nguy cơ chuyển từ u xương lành sang dạng ác tính, bởi đã có nhiều bệnh nhân có u xương dạng lành tính gặp phải tình trạng này. Có tới 30% khối u xương sụn lành có thể chuyển hóa thành ác tính”.
Nếu người bệnh chủ quan, không thăm khám thường xuyên, thì khi u lành tính chuyển thành u ác tính, chúng thường phá hủy xương khiến bệnh nhân bị biến dạng chi, gây đau đớn, hạn chế vận động, có thể dẫn tới tàn tật hoặc tử vong - theo bác sĩ Trần Sáng.
Vì vậy, khi bệnh nhân thấy cơ thể bị đau song điều trị nội khoa không thuyên giảm, tiếp tục bị hạn chế vận động hoặc đe dọa gãy xương và khối u có xu hướng phát triển kích cỡ, nên tới bệnh viện để thăm khám kịp thời, do đây là các triệu chứng biểu hiện u xương lành tính đã trở nên nguy hiểm, cần điều trị ngay.
“Ngoài ra, trong trường hợp phát hiện khối u xương, người bệnh nên thăm khám để phát hiện u xương đó lành tính hay ác tính. Nếu khối u lành tính, bệnh nhân nên theo dõi chặt chẽ, không nên chủ quan để đề phòng khối u chuyển thành ác tính. Nếu là khối u ác tính, các bác sĩ sẽ có biện pháp điều trị kịp thời, tránh để khối u phát triển ảnh hưởng tới vận động” – Bác sĩ Trần Sáng khuyến cáo.


