Được gọi là tình trạng “thai trong bào thai” (FIF), một trường hợp dị tật bẩm sinh hiếm gặp với tỷ lệ mắc phải là 1: 500.000, nó xảy ra khi một người mang thai đôi và một bào thai tiến hành bao bọc một bào thai khác trong giai đoạn sớm của thai kỳ. Thai nhi không sẽ không tiếp tục phát triển hệ thần kinh và não bộ nhưng nó vẫn có khả năng sống sót. Thai nhi duy trì sự sống thông qua anh chị em của mình (bào thai còn lại). Về cơ bản, chúng giống như một dạng ký sinh trùng.
Một giả thuyết khác lại cho rằng, thai nhi thứ hai thực chất là một dạng khối u phức tạp hay quái thai. Điều đặc biệt là những quái thai này có thể tự phát triển các loại mô khác nhau trong cùng một lúc như tóc và răng.
Tuy nhiên, tình trạng này thường sớm chấm dứt do sẩy thai hoặc do không đủ chất dinh dưỡng cho thai nhi. Nếu có ai đó sống sót, căn bệnh này cũng thường được phát hiện ngay từ thời thơ ấu, các trường hợp xảy ra đối với người lớn rất hiếm.
Đối với ngươì̀ phụ nữ Ấn Độ này, các bác sĩ đã phát hiện ra điểm bất thường cách đây 5 năm khi cô đến khám. Cả cô gái và gia đình nhận thấy cô có một khối u rất cứng ở trong bụng. Trong 5 năm tiếp theo, kích cỡ khối u tăng dần khiến cô gái này đau đớn thường xuyên. Vào thời điểm phát hiện ra, “quái thai” này đã “sống” ở trong bụng cô gái 17 năm, cô thậm chí không thể ăn nhiều vì luôn cảm thấy no, rất có thể do khối u đã lan sang các cơ quan nội tạng của cô.
![]() |
|
Khối u "bào thai trong bào thai" được các bác sĩ phẫu thuật lấy ra từ ổ bụng cô gái. Ảnh: Gizmodo
|
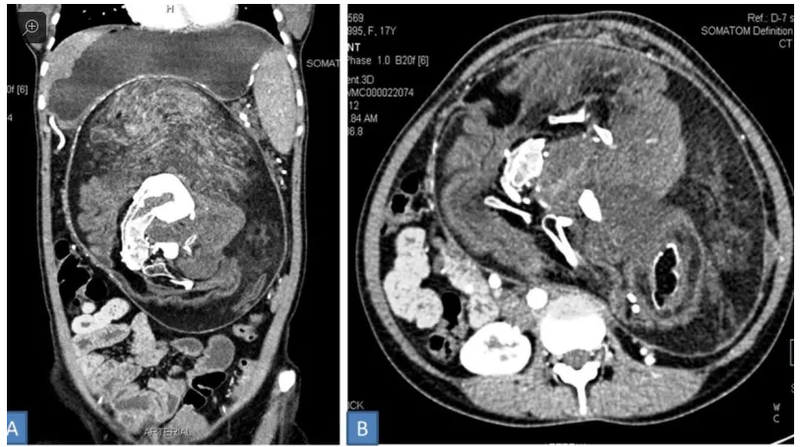
Sau quá trình kiểm tra ban đầu, các bác sĩ vẫn nghi ngờ đây chỉ là một khối u. Sự thật khủng khiếp chỉ được phát hiện ra khi họ tiến hành chụp ảnh CT scan vùng bụng cô gái và tìm thấy những mảnh xương giống như hình dạng đốt sống, xương sườn. Các bác sĩ đã tiến hành phẫu thuật và loại bỏ nó.
Theo báo cáo, khối “quái thai” này có tóc, xương và một số bộ phận cơ thể khác như răng và cấu trúc giống như các chi. Trong lịch sử các dị tật “bào thai trong bào thai”, đây là trường hợp lớn nhất từng được phát hiện.
Thật may mắn, sau phẫu thuật, cô gái đã nhanh chóng hồi phục. Tuy nhiên, các bác sĩ cũng cảnh báo rằng vẫn có khả năng các tế bào này có thể phát triển giống như căn bệnh ung thư và vượt khỏi tầm kiểm soát. Để ngăn chặn sớm những rủi ro đó, các bác sĩ cho biết họ sẽ tiếp tục theo dõi tình trạng của cô gái này.
Theo Gizmodo
