Thông báo
    bell
  • Góc nhìn truyền thông
  • Kinh tế - Dữ liệu
    • Dữ liệu
    • Kinh Doanh
    • Bất động sản
  • Chuyện doanh nhân
  • Thời sự - Xã Hội
    • Xã hội
    • Y tế
    • Giáo dục
    • Pháp luật
  • Khoa học - Công nghệ
    • Internet
    • Xe
    • Mobile
    • Chuyển đổi số
  • Thế giới
    • Toàn cảnh
    • Phân tích
    • Chuyện lạ
  • Truyền thông số
    • Tin tức
    • Hoạt động Hội viên
  • Multimedia
    • Ảnh
    • Video
    • Emagazine
    • Infographic
  • Cải chính
  • Đời sống Doanh nghiệp
Viettimes - tin tức và phân tích chuyên sâu kinh tế, quốc tế, y tế

Từ khóa: #thái đội

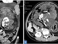
Hình ảnh CT scan trường hợp "thai nhi trong bào thai" được phát hiện bên trong bụng của một người phụ nữ Ấn Độ. Ảnh: Gizmodo

Trường hợp hy hữu trong y học: Người phụ nữ “mang thai” suốt 17 năm mà không hề hay biết

Cụm tác chiến tàu sân bay Mỹ

“Mỹ sẽ “trả giá đắt” ở Biển Đông, điều 10 tàu sân bay Trung Quốc cũng không sợ“

TẠP CHÍ ĐIỆN TỬ VIETTIMES

CƠ QUAN CỦA HỘI TRUYỀN THÔNG SỐ VIỆT NAM

App Store Google Play

Giấy phép báo chí điện tử số 699/GP-BTTTT do Bộ trưởng Thông tin và Truyền thông cấp ngày 21/12/2015

Tổng Biên tập: Nguyễn Bá Kiên

Tòa soạn: LK16-18, Khu đô thị Hinode Royal Park, Kim Chung, Hoài Đức, Hà Nội

VP đại diện tại miền Nam: Tầng 3, số 54, đường C1, phường 13, quận Tân Bình, TP.HCM

Điện thoại/fax: (024)32 151175

Email: toasoan@viettimes.vn

Đường dây nóng: 0862 774 832

Liên hệ quảng cáo: 093 228 8166

® Chỉ được đăng tải nội dung thông tin khi có sự đồng ý bằng văn bản của Tạp chí Viettimes.