Đây quả thực là một tín hiệu đáng mừng đối với nền y khoa thế giới.
Một nghiên cứu mới của Australia đã tìm ra cách khiến cơ chế apotosis – quá trình tự hủy tế bào, đây được coi là chiến lược mới để tiêu diệt các ung thư hắc tố, dạng ung thư da nguy hiểm nhất.
![]() |
|
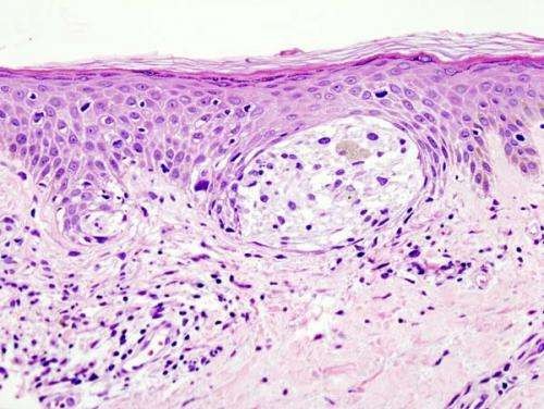
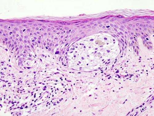
Hình ảnh khối ung thư sinh thiết dưới da.
|
Cùng với đó, các nhà khoa học đã phát hiện ra 2 loại protein đặc biệt xuất hiện trong khối u ác tính của bệnh ung thư – đó là protein MCL1 và một nhóm protein có tên chung là BET. Hai loại protein này có tác dụng làm chức năng bảo vệ và hỗ trợ các tế bào ung thư ác tính sinh trưởng mạnh mẽ trong cơ thể.
Tiến sĩ Hsin-Yi Tseng, một trong các tác giả chính của nghiên cứu vui mừng thông báo, họ đã có phác đồ điều trị bằng thuốc có thể ức chế 2 protein này, ông giải thích: "Khả năng bảo vệ của protein MCL1 và BET bị giảm bởi các thuốc ức chế này, từ đó "cởi trói" cho apotosis và khiến tế bào ung thư tự hủy".
Tiến sĩ Jesssamy Tiffen, đồng tác giả đánh giá kết quả nghiên cứu trên "rất có ý nghĩa", giúp mang lại phương pháp điều trị hiệu quả mới cho các bệnh nhân mắc ung thư hắc tố da.
Ông cũng cho biết thêm, nguyên nhân chủ yếu của nghiên cứu là có tới một nửa số bệnh nhân ung thư hắc tố không đáp ứng với liệu pháp miễn dịch và kháng các biện pháp chữa trị khác, bởi vậy, phát hiện mới này kỳ vọng sẽ cứu mạng được nhiều người.
Nghiên cứu đã được tiến hành với số lượng lớn chuỗi tế bào hắc tố người cũng như của chuột. Kết quả cho thấy có sự sụt giảm mạnh lượng tế bào hắc tố trong cả hai trường hợp. Với kết quả này, các nhà khoa học sẽ bước vào giai đoạn tiếp theo của quá trình nghiên cứu.
Ung thư hắc tố da là một trong những loại ung thư da nguy hiểm nhất cướp đi sinh mạng của 1.700 người/năm ở Australia và chủ yếu ở độ tuổi từ 15 đến 35.
Theo Nguoiduatin
