Bệnh nhân vào Bệnh viện Trung ương Quân đội 108 trong tình trạng khó thở với một vết bầm tím nhỏ ở ngực, kèm theo tiếng tim nghe hơi mờ. Siêu âm tim, các bác sĩ phát hiện bệnh nhân có dịch trong khoang màng tim. Chụp CT thấy bệnh nhân bị vỡ xương ức, gãy cung trước xương sườn 7,8 bên phải, tràn dịch khoang màng tim và màng phổi phải, vỡ gan độ 3.
Ngay sau đó, bệnh của bệnh nhân diễn biến rất nhanh, người bệnh bị tụt huyết áp, khó thở tăng nhiều. Bệnh nhân được đẩy lên phòng mổ khẩn cấp. Khi lên đến bàn mổ, bệnh nhân có biểu hiện doạ ngừng tim.
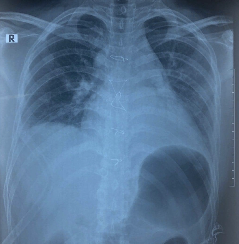
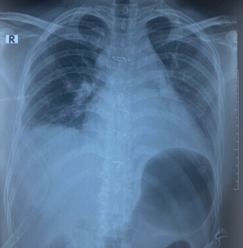
![]() |
Ảnh chụp X-quang của bệnh nhân (Ảnh: BVCC) |
Theo lời kể của bệnh nhân, trên đường đi làm về mệt, anh đã ngủ gật và bất ngờ bị tai nạn giao thông. Bệnh nhân đập ngực vào vật cứng và được cấp cứu vào Bệnh viện khu vực gần nhất. Tại đây các nhân viên y tế không phát hiện được tổn thương nào đặc biệt và không xử trí gì.
BS. Ngô Tuấn Anh – Chủ nhiệm Khoa phẫu thuật tim mạch, Bệnh viện Trung ương Quân đội 108, trưởng kíp mổ - cho biết: “Chúng tôi đã tiến hành mở ngực tối khẩn cấp, các bác sĩ gây mê khởi mê và đặt ống nội khí quản cho bệnh nhân. Khi mở ngực, khoang màng tim của bệnh nhân rất căng. Đến khi mở khoang màng tim thì có rất nhiều máu phun ra mạnh. Sau khi kiểm tra, phát hiện bệnh nhân có tổn thương rách nhĩ phải. Vì thế, các bác sĩ đã khâu phục hồi thành nhĩ phải và cố định lại xương ức bằng chỉ thép”.
Ca mổ diễn ra trong hơn 1 giờ đồng hồ. Bệnh nhân được hồi sức tích cực và tỉnh sau 4 giờ phẫu thuật. 2 ngày sau phẫu thuật, bệnh nhân đã có thể ra khỏi giường, tự vận động, tổn thương gan ổn định, chức năng gan trở về mức bình thường.
