Đối mặt với căn bệnh quái ác
24 tuổi, đang ở độ tuổi căng đầy sức sống, nhưng cô sinh viên năm cuối Lê Thị H., sinh viên Học viện Công Nghệ Bưu chính Viễn thông đã phải đối mặt với căn bệnh quái ác.
Một năm trở lại đây, chân phải của H. thỉnh thoảng bị đau dọc theo thân xương đùi, đau tăng lên vào buổi tối và khi vận động nặng. Nhìn bề ngoài chân phải của H. không bị sưng đau hay biến dạng, vận động gối hoàn toàn bình thường.
H. đã đi khám ở một số nơi, nhưng bác sĩ không phát hiện ra bệnh. Do đang là sinh viên năm cuối bận rộn, nên cô không đi khám ở chuyên khoa sâu về cơ xương khớp. Một lần về quê, khi chụp Xquang ở bệnh viện tỉnh, các bác sĩ đã phát hiện H. có dấu hiệu bất thường ở xương đùi và chuyển H. lên tuyến trên để chẩn đoán, điều trị.
![]()  |  
  
|  
     
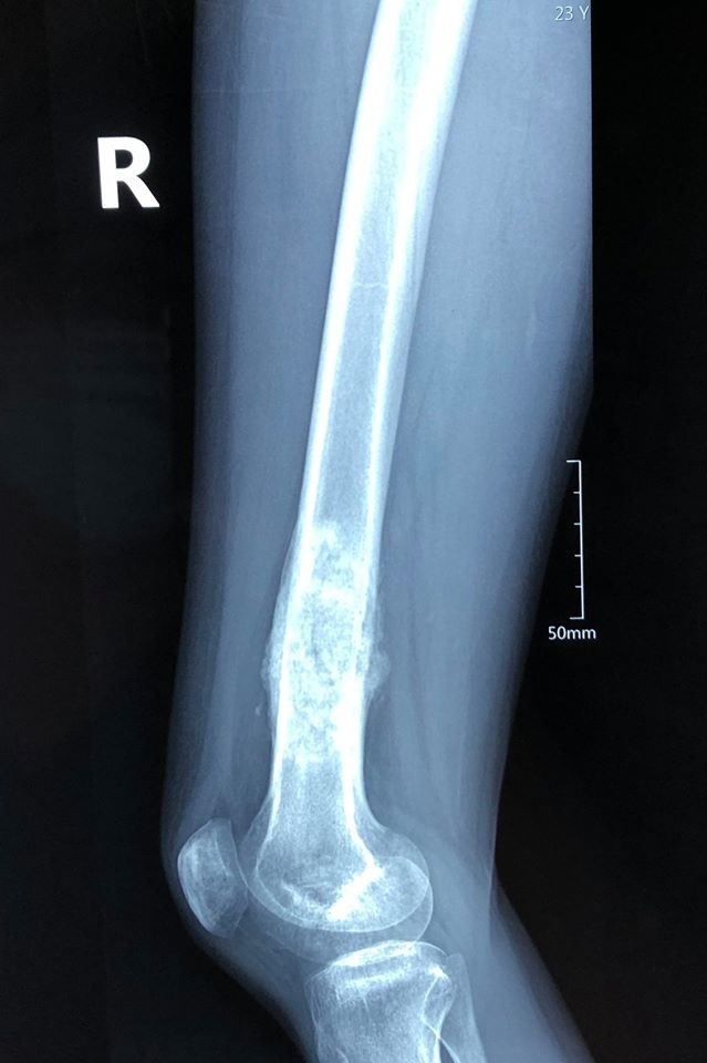
     Ảnh X-quang đùi phải của bệnh nhân H. khi phát hiện ung thư xương ác tính. Ảnh: Sơn Tùng               
       |  
  
Tháng 6/2019, sau khi được chẩn đoán giải phẫu tại Bệnh viện K Tân Triều, cô sinh viên nhận được tin dữ - bị ung thư xương ở mức độ ác tính cao. Lúc này, khối u đã lan ra toàn bộ xương đùi của H. mặc dù cô phát hiện tương đối sớm.
Theo các bác sĩ, các ca ung thư khác chỉ ung thư ở một phần của xương, nhưng trường hợp này cả phần dưới và phần trên xương đùi đều có dấu hiệu của ung thư. Vì thế, phác đồ điều trị phải hoàn toàn khác so với các ca thay khớp trước đó. Bởi việc thay xương đùi có liên quan trực tiếp đến hai khớp lớn của cơ thể vô cùng phức tạp.
Quyết định “hồi sinh” xương đùi cho cô gái trẻ
Vì thế, PGS.TS. Trần Trung Dũng đã hội chẩn với Hội đồng chuyên môn của Bệnh viện K Tân Triều về ca bệnh này, đồng thời, trực tiếp thực hiện ca đại phẫu chưa từng có ở Việt Nam. Từng có lúc tuyệt vọng vì lo sợ bị cắt cụt chân, nữ bệnh nhân chia sẻ với bác sĩ khao khát được làm mẹ. Những lời tâm sự của cô luôn vang lên trong đầu vị bác sĩ ngoại khoa, để anh trăn trở tìm cách điều trị tốt nhất cho cô, để giúp cô sau này có thể thực hiện được ước nguyện.
![]()  |  
  
|  
     
     PGS.TS. Trần Trung Dũng và BS. Nguyễn Trần Quang Sáng kiểm tra vết mổ cho bệnh nhân H. Ảnh: Sơn Tùng
       |  
  
Sau khi thực hiện các xét nghiệm cẩn thận, PGS.TS. Trần Trung Dũng quyết định thực hiện phương án cắt toàn bộ khối xương đùi bị ung thư và thay thế bằng xương đùi Titan cho bệnh nhân.
Với sự chuẩn bị kỹ càng, ngày 2/3, PGS.TS. Trần Trung Dũng cùng ekip bác sĩ của Bệnh viện Đại học Y Hà Nội, Bệnh viện Xanh Pôn và Bệnh viện K Tân Triều tiến hành ca phẫu thuật thay toàn bộ xương đùi bên phải cho bệnh nhân H.
Ca phẫu thuật diễn ra đầy căng thẳng trong 3 tiếng đồng hồ cuối cùng đã thành công nhờ kinh nghiệm và tay nghề cao của PGS.TS. Trần Trung Dũng. Toàn bộ xương đùi ung thư của cô gái trẻ đã được lấy ra để thay thế bằng xương đùi Titan, đồng thời thay khớp háng và khớp gối toàn phần và khâu phục hồi lại các điểm bám gân cơ.
![]()  |  
  
|  
     
     Phim chụp lại sau mổ của bệnh nhân H. Ảnh: Sơn Tùng  
       |  
  
Sau thành công của ca mổ kỳ tích này, PGS.TS. Trần Trung Dũng cho biết: “Ca phẫu thuật đã diễn ra khẩn trương và an toàn, toàn bộ xương ung thư của bệnh nhân H. đã được lấy ra và thay bằng xương đùi Titan. Do mất ít máu trong khi mổ, nên bệnh nhân sẽ sớm hồi phục, giữ được chức năng của chi và có thể vận động bình thường trở lại.”
Chia sẻ về những khó khăn trong quá trình phẫu thuật, PGS.TS. Dũng cho hay: Đây là một ca phẫu thuật lớn và khó. Bởi để đảm bảo chức năng của xương đùi, khớp háng và gối, cần đặt dụng cụ thật chính xác, nếu không sẽ dễ dẫn đến ngắn chi, đồng thời, phải khâu phục hồi lại khối cơ mông và đùi như giải phẫu ban đầu, để tạo độ vững cho khớp háng và gối, tránh trật khớp về sau. Ngoài ra, việc đảm bảo cắt hết khối u, vô khuẩn dụng cụ và kiểm soát lượng máu mất của bệnh nhân vô cùng quan trọng trong phẫu thuật.
3 ngày sau mổ, vết thương của bệnh nhân H. khô, không chảy dịch, còn đau ít vết mổ. Do lượng máu mất trong lúc phẫu thuật không nhiều nên sức khỏe bình phục tốt.
Bước đi đầu tiên của “Iron Woman”
Sau đó, PGS. TS. Trần Trung Dũng còn trực tiếp hướng dẫn tập phục hồi chức năng cho bệnh nhân H.
Hiện, chân phẫu thuật của bệnh nhân H. gối đã gấp được 50 độ, duỗi được thẳng chân. Đáng chú ý, bệnh nhân đã có thể bước đi những bước đi đầu tiên. Ngay khi tận mắt chứng kiến hình ảnh này, cả ekip phẫu thuật vô cùng phấn khởi và gọi bệnh nhân H. với biệt danh mới “Iron Woman” – nữ người sắt.
![]()  |  
  
|  
     
      Những bước đi đầu tiên sau phẫu thuật của bệnh nhân H. Ảnh: Sơn Tùng
       |  
  
Bước đi là một điều bình dị đối với tất cả mọi người, nhưng với bệnh nhân H., 4 tháng nay cô không thể thực hiện được điều đó. Mặc dù vẫn cần thời gian để tập phục hồi chức năng và điều trị thêm hóa chất, nhưng H. và bố mẹ cô rất hài lòng với ca phẫu thuật và gửi gắm nhiều hy vọng vào tương lai phía trước.
Sau khi bước những bước đi đầu tiên, H. không giấu nổi sự xúc động: “Em đã khóc rất nhiều khi biết mình bị bệnh nặng. Rất lâu rồi em không được đi lại, nên lúc bước đi bước đầu tiên, em đã không cầm được lòng. Em không dám tin là mình còn chân, khi cử động được ngón chân, em mới biết đây là sự thật.”
Thay toàn bộ xương đùi là một ca đại phẫu thuật, được thực hiện lần đầu tiên tại Việt Nam. Thành công của ca mổ này sẽ khởi đầu cho việc bảo tồn chi thể cho các bệnh nhân bị ung thư xương nói chung, ung thư xương đùi nói riêng. Đặc biệt, đây là sự minh chứng cho sự tiến bộ cho Y học Việt Nam không thua kém so với các nước trên thế giới.
"Đây cũng là món quà ý nghĩa của các bác sĩ chúng tôi chúc mừng ngày phụ nữ Việt Nam 8/3 và riêng chúc cho bệnh nhân H. tự tin bước tiếp tới tương lai" - PGS. Trần Trung Dũng bày tỏ. 
 
|   Phẫu thuật thay toàn bộ xương đùi được thực hiện lần đầu tiên là phẫu thuât viên Buchman vào năm 1965. Đây được coi là ca phẫu thuật thay toàn bộ xương đùi đầu tiên trên thế giới. Ưu điểm lớn nhất của phẫu thuật này là loại bỏ được xương đùi bị bệnh của bệnh nhân mà vẫn bảo tồn được chi thể và vận động phục hồi chức năng được sớm. Hơn nữa, ưu thế vượt trội của xương đùi Titan này mô phỏng theo cấu trúc giải phẫu, có thiết kế dạng module tháo lắp để phục hồi nguyên trạng chiều dài như trước mổ. Các điểm bám của các gân cơ quanh xương đều được khâu phục hồi nguyên trạng nữa nên bệnh nhân phục hồi chức năng đi lại được rất sớm. Tuy nhiên, trong hơn 50 năm phát triển, bệnh nhân được chỉ định phẫu thuật này rất hạn chế (chủ yếu là bệnh nhân bị ung thư xương và còn đáp ứng với hóa chất và xạ trị), sự thiết kế cho dụng cụ xương đùi Titan phù hợp với kích thước của bệnh nhân chưa nhiều, sự khó khăn trong gây mê hồi sức và tập phục hồi chức năng sau mổ dẫn đến phẫu thuật này chưa được áp dụng ở nhiều nơi, rất ít các công trình nghiên cứu về kết quả điều trị của phương pháp này. Biến chứng hay gặp của phẫu thuật thay toàn bộ xương đùi là mất máu, lỏng khớp do phần mềm, nhiễm trùng khớp hoặc phần mềm, lệch chiều dài chi, hỏng bộ khớp, trật khớp háng và gối,… Ở châu Á nói chung, khu vực Đông Nam Á nói riêng, rất ít nước có thể thực hiện được ca phẫu thuật thay toàn bộ xương đùi, ở Việt Nam chưa có ca phẫu thuật nào thay toàn bộ xương đùi tương tự.  |  
  



