Bệnh viện Sản nhi Quảng Ninh cho biết, sau khi khám lâm sàng, các bác sĩ phát hiện bé V.T. N., 4 tuổi, sống ở Cẩm Phả, Quảng Ninh có dị vật là 1 chiếc kim băng đang mở, một đầu nhọn cắm vào thành thực quản của bé.
Ngay lập tức, các các bác sĩ đã tiến hành nội soi thực quản, dùng kìm đẩy đầu nhọn của kim thoát khỏi thành thực quản, sau đó kẹp lấy đầu nhọn của dị vật rồi kéo ra ngoài.
![]() |
|
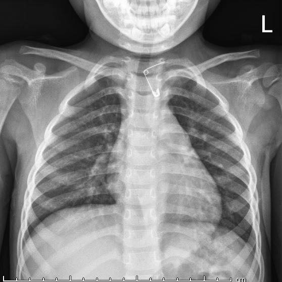
Phim chụp X-quang ccủa bé gái. Ảnh: BVCC
|
Hiện, bé đã thở dễ, sinh hoạt ăn uống bình thường, chuẩn bị được xuất viện.
BS. Phạm Đăng Hùng cho biết: Trường hợp bé N., 4 tuổi rất may mắn khi dị vật trong thực quản bé là kim loại nhỏ, bác sĩ đẩy đầu nhọn ra khỏi thành thực quản, sau đó túm lấy cái đầu nhọn ấy để nó không gây tổn thương thêm cho thực quản, tránh cho bé phải đối mặt với ca phẫu thuật nguy hiểm.
![]() |
|
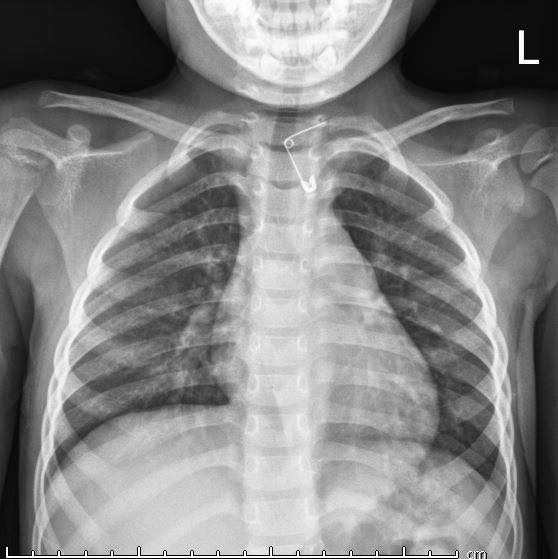
Chiếc kim băng trong thực quản bé gái. Ảnh: Minh Thúy
|
Do đó, các bác sĩ khuyến cáo bậc phụ huynh cần tránh cho bé chơi các đồ chơi có kích thước quá nhỏ dễ ngậm và sặc vào đường thở, cũng như tránh cho trẻ ăn những thức ăn dễ bị hóc như: đậu phộng, hạt dưa, hạt hướng dương,…
Đối với trẻ có xảy ra hội chứng xâm nhập, đột ngột ho sặc, hóc thức ăn, đồ chơi…, khò khè kéo dài sau đó các bậc phụ huynh cần lưu ý đưa trẻ đến khám tại các bệnh viện uy tín, có chuyên khoa sâu và nội soi về hô hấp để phát hiện và xử trí kịp thời.

